Cucerește lumea cu un zâmbet sănătos!

Studio Dent este locul unde tratamentul dentar e o adevărată plăcere.

Programează-te la o consultație

Servicii dentare

Terapie dentară

Acest serviciu presupune tratarea leziunilor carioase, necarioase precum și alte complicații cum ar fi: fracturi, distrofii sau leziuni de uzură dentară.Procedura este inofensivă și cu efect de lungă durată. Iată câteva etape:

  • Înlăturarea țesutului afectat
  • Protecția țesutului remanent și izolarea dintelui
  • Restabilirea dintelui (obturația)

Întrucât apariția cariilor poate fi cauzată de mai mulți factori, specialiștii clinicii Studio Dent recomandă efectuarea controluluii profilactic o dată la 6 luni.

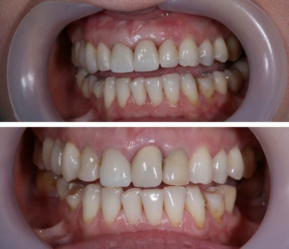
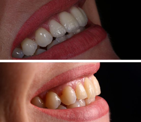
Protetică Dentară

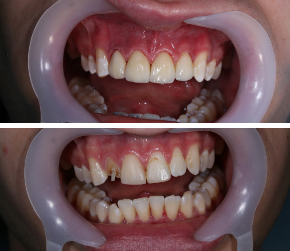
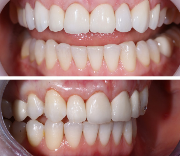
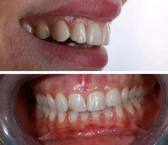
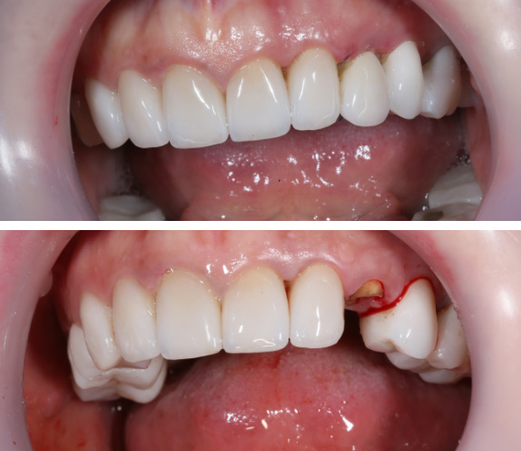
În funcție de gravitatea problemei cu care te confrunți, poți opta pentru un tratament distinct. Reconstrucția generală a dinților poate fi una din variante. La fel de practice sunt și: fațetele dentare, coroanele dentare, încrustațiile și protezele. Acest tip de serviciu este recomandat persoanelor care:

  • Au pierdut un număr semnificativ de dinți
  • Au suferit intervenții chirurgicale eșuate
  • Suportă consecințele parodontozei avansate

Echipa Studio Dent îți asigură o dantură cu aspect echilibrat și funcționalitate maximă.

Chirurgie și Implantologie dentară

Absența parțială sau totală a dinților este un disconfort atât fizic, cât și estetic. La nivel mondial această problemă este tratată cu ajutorul implantologiei. Procedură ce permite asigurarea confortului fizic și funcțional, oricât de gravă ar fi situația. Top 3 avantaje ale acestei proceduri:

  • Restabilirea aspectului natural al dinților
  • Împiedică atrofierea țesutului osos
  • Stabilitate și confort maxim

Optează pentru intervenții stomatologice sigure și 100% eficiente.

Ortodonție

Anomaliile dentare sunt tot mai des întâlnite în ultimii 10 ani. De la situații de complexitate joasă, la grave și extrem de grave, și de toate se ocupă medicul ortodont. Începând cu diagnosticarea, îndreptarea, alinierea dinților strâmbi, până la tratarea definitivă a problemei. Această categorie de servicii nu are limite de vârstă, copii, adolescenți, maturi și vârstnici. Sunt prea multe beneficii ale aparatului dentar, iată doar câteva:

  • Asigură o poziționare corectă a dinților
  • Împiedică eroziunea dentară
  • Îmbunătățește dicția și masticația

Investește în sănătatea ta! Vă așteptăm pe toți cu brațele deschise la o consultație!

Igienă și profilaxie dentară

O bună igienă zilnică asigură parțial sănătatea cavității bucale. Intervenția regulată a specialiștilor nu doar că previne apariția și dezvoltarea cariilor, dar îmbunătățește și starea generală a danturii.

O ședință de profilaxie realizată la interval de 6 luni, este suficientă pentru un zâmbet sănătos.

Detartrajul este posibil cea mai plăcută procedură. Este total inofensivă, nu provoacă durere și nu afectează substraturile gingivale. Aceasta presupune îndepărtarea profesională a depunerilor de tartru de pe suprafața dinților. Iată câteva beneficii ale acestei proceduri:

  • Minimizează riscul de apariție a cariilor.
  • Îmbunătățește aspectul estetic al dinților, previne apariția petelor, îngălbenirea și deteriorarea acestora.
  • Contribuie la eliminarea respirații urât mirositoare, cauzată de acumularea bacteriilor la baza dinților.

În clinica Studio Dent procedura durează între 45 și 60 de minute și include 3 etape esențiale:

  • detartraj cu ultrasunet
  • periaj profesional
  • fluorizare

Vizitele regulate la cabinetul stomatologic sunt mai mult decât necesare, acestea vă asigură un zâmbet sănătos!

Abordarea individuală

Fiecare client beneficiază de consultația individuală a medicului stomatolog. Problema acestuia se analizează până în cele mai mici detalii.

Echipament modern

Clinica este dotată cu echipamente și utilaje de ultimă generație, radiologie și laborator de tehnică dentară. Necesare la etapa de analiză și tratament.

Specialiști calificați

Echipa noastră este formată doar din medici bine instruiți cu experiență bogată atât în domeniul stomatologiei, cât și ortodonției.

Despre noi

Clinica Studio Dent e mai mult decât un centru medical. Începând cu anul 2007 activăm pe piața din Republica Moldova în calitate de specialiști notorii.

Oferim servicii stomatologice de calitate superioară, într-o atmosferă prietenoasă și în condiții de siguranță maximă.

Pentru a transforma vizita la medicul stomatolog într-o experiență plăcută, acordăm în permanență o atenție deosebită tuturor elementelor care definesc un tratament medical de succes:

  • rezolvarea problemelor de sănătate dentară într-un singur loc;
  • nivelul de pregătire al echipei medicale;
  • accesul la tratamente avansate și tehnologii de ultimă generație;
  • cadrul de desfășurare și siguranța actului medical;

Principala noastră preocupare este grija pentru fiecare pacient, de aceea oferim servicii stomatologice complexe de înaltă calitate.

Ambianța plăcută, o sală de așteptare relaxantă și confortabilă, personalul înalt calificat, te fac să te simți în siguranță și pe deplin încrezător în rezultatul final.

Profesionalism și implicare la fiecare pas. Pornim de la zero și controlăm fiecare etapă până să obțineți acea dantură de vis.

Rezultat garantat

Fiecare tratament pornește în urma unei analize minuțioase, astfel metoda selectată garantează rezultat în proporție de 99,9%.

Asistență

Pe tot parcursul tratamentului puteți solicita ajutorul, consultația sau intervenția medicului în cazul apariției unor situații neplăcute.

Siguranță la fiecare etapă

Siguranța pacienților este prioritatea noastră nr.1. Anual investim în echipamente de dezinfectare și sterilizare a instrumentelor.

Specialiștii cabinetului stomatologic

Țîmbalist Eduard Chirurg/ortoped
Categorie Superioară
Țîmbalist Radu Terapeut/ortoped
Categoria I
Gorea Natalia terapeut/ortoped
Categorie superioară
Batîr Ana Ortodont
Categoria I
Goiciu Alina terapeut/ortoped
Categoria I

La Studio Dent poți beneficia de toate serviciile stomatologice într-un singur loc.

Totul sub același acoperiș!

Programează-te la o consultație

Ce spun clienții noștri

Cea mai bună decizie pe care am luat-o vreodată! Mulțumesc echipei pentru ajutor. Am apelat la ei pentru aplicarea fațetelor dentare. Am rămas mai mult decât mulțimit.

Nicolae Sîrbu

Am fost recent la o consultație a medicului ortodont. M-a uimit atitudinea binevoitoare și cu câtă răbdare mi-a explicat în ce constă tratamentul. Vă mulțumesc, abia aștept să începem!

Ionela Burlaca

De mai bine de trei ani sunt clientă fidelă a acestei clinici. Medici care își fac cu dăruire meseria, personal amabil, prețuri accesibile și servicii de calitate. Recomand cu încredere!

Stela Golban

O echipă de profesioniști, prompți și pregătiți pentru a face totul ca serviciul oferit să fie impecabil! Apelați cu încredere fiindcă merită 100%.

Munteanu Anastasia

Mulțumesc StudioDent pentru ajutor! Recent am fost la clinică pentru o curățare profundă. Cel mai mult m-a uimit acuratețea cu care lucrează și seriozitatea maximă a întregului personal. Recomand cu încredere.

Profir Mihaela

Zâmbește încrezător

Sănătatea și aspectul danturii tale are prioritate.

Contactează-ne acum
Adresa bd. Decebal 64/2
Număr de telefon 0790 00 088